
「親知らずを抜くって聞いた瞬間から怖くなってしまう…」そんな方は少なくありません。
麻酔はちゃんと効くのか、どんな手順で抜くのか、腫れや痛みで仕事や学校に支障が出ないか。
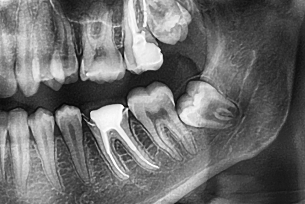
特に横向きや埋まっている親知らずだと、不安はさらに大きくなりますよね。
この記事では、抜歯が痛いと感じる理由、抜き方の種類(まっすぐ・横向き・埋伏などの違い)、当日の流れ、術後の腫れや痛みの目安を分かりやすくお伝えします。
親知らず抜歯は痛い?痛みについてわかりやすく解説

抜歯中の痛みについて
親知らずの抜歯は「すごく痛い」と思われがちですが、抜歯中は麻酔が効いていれば強い痛みを感じることはほとんどありません。
実際に多いのは、痛みというより「押される感じ」や「ゴリゴリする音」にびっくりするケースです。
抜歯後の痛みについて
抜歯後の痛みはずっと続くわけではなく、多くの場合は1〜3日ほどがピークで、その後は少しずつ落ち着いていきます。特に抜歯当日は麻酔が切れたタイミングでズキズキしやすく、「思ったより痛いかも…」と不安になる方もいますが、処方された痛み止めを適切に使えばコントロールできるケースがほとんどです。
ただし、下の親知らずが横向きに埋まっていた場合は、腫れや痛みが強く出やすく、数日間は食事がつらく感じることもあります。痛みを長引かせないためには、強いうがいを避けて患部を触らず、当日は安静に過ごすことが大切です。
痛み止めを飲んでもつらい状態が1週間以上続く場合は、無理せず早めにご相談ください。
親知らず抜歯の手順
ここからは、抜歯がどんな流れで進むのかを、4つのステップに分けてご説明します。
まずは検査・診断(抜ける親知らずか確認)
最初にお口の状態を確認し、レントゲン撮影を行って親知らずの向きや根の形をチェックします。特に下の親知らずは神経が近いこともあるため、「簡単に抜けるタイプか」「切開が必要か」などをここで見極めます。抜歯の難易度や時間の目安も、この検査の結果で説明されます。
麻酔をして痛みを抑える
抜歯は、麻酔をしっかり効かせてから行うため、抜いている途中に強い痛みを感じることはほとんどありません。チクッとするのは麻酔の最初だけで、その後は「押される感じ」や「音が気になる」程度で進むことが多いです。痛みが不安な方は、この段階で遠慮なく伝えておくと安心です。
親知らずを抜く(まっすぐ・横向きで方法が変わる)
親知らずがまっすぐ生えている場合は、歯をゆらしながら抜くことが多く、比較的短時間で終わります。一方、横向きに埋まっている場合は歯茎を少し開いたり、歯を分割して取り出したりすることがあります。「切る」「削る」と聞くと怖く感じますが、麻酔が効いていれば痛みは抑えられるので安心してください。
止血・縫合+術後の説明
抜歯が終わったら、血が止まるまでガーゼをしっかり噛んで止血します。必要に応じて縫合し、痛み止めや抗生物質が処方されることもあります。最後に、腫れの目安や食事の注意点、強いうがいを避ける理由など、術後の過ごし方の説明があります。ここを守ることで、痛みを長引かせにくくなります。
親知らず抜歯の痛みについてよくある質問
Q1. 親知らずの抜歯中は痛いですか?
A. 麻酔がしっかり効いていれば、強い痛みを感じることはほとんどありません。
抜歯中は「押される感じ」や「音が気になる」程度で進むことが多いです。痛みが心配な方は、麻酔の追加もできるため遠慮なく伝えてください。
Q2. 抜歯後の痛みはいつまで続きますか?
A. 多くは1〜3日がピークで、そこから少しずつ落ち着いていくことが多いです。
特に当日は麻酔が切れた頃から痛みを感じやすくなります。処方された痛み止めを適切に使い、無理せず安静に過ごすことが大切です。
Q3. 下の親知らずは痛みが強くなりますか?
A. 下の親知らずは腫れや痛みが出やすい傾向があります。
特に横向きに埋まっている場合は、歯茎を開いたり歯を分割したりすることがあり、術後の違和感が強くなることもあります。ただし、痛み止めでコントロールできるケースがほとんどです。
Q4. 痛みがどんどん強くなる場合は大丈夫ですか?
A. 抜歯後2〜3日たってから痛みが強くなる場合は、早めに歯科へ相談しましょう。
まれに、血のかさぶたが取れて治りが遅くなる「ドライソケット」などが起こることがあります。痛み止めを使っても強い痛みが続く、口臭が気になる、1週間以上つらい場合は放置せず受診がおすすめです。




