症例一覧
症例一覧
ホーム
医院紹介
スタッフ紹介
診療案内
虫歯治療
根管治療
歯周病治療
予防歯科
訪問歯科
セラミック治療
インビザライン
ホワイトニング
インプラント治療
インプラントオーバーデンチャー
接着ブリッジ治療
入れ歯治療
ダイレクトボンディング
ティースジュエリー
保険診療と自費診療の違い
症例一覧
料金表
アクセス
歯科コラム
ホーム
症例
インビザライン
インビザラインフル
この症例を見る
もっと見る
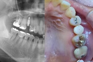
インプラント
インプラント治療
この症例を見る
もっと見る
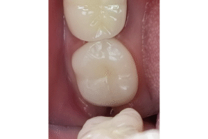
セラミック
e-maxクラウンset
この症例を見る
e-maxクラウンset
この症例を見る
もっと見る
ティースジュエリー
ティースジュエリー
この症例を見る
もっと見る
ホワイトニング
オフィスホワイトニングファーストコース
この症例を見る
もっと見る