0422-27-8102
WEB予約

ホワイトニング

「歯が黄ばんで気になる」「大切なイベント前に歯を白くしたい」
そんなお悩みを持つ方々に最適なのが、ホワイトニング治療です。

当院では、オフィスホワイトニングとホームホワイトニングの2種類の治療方法をご用意しています。

さらに、両方の治療方法を組み合わせた「デュアルホワイトニング」も選択可能です。

デュアルホワイトニングは、オフィスホワイトニングの即効性と、ホームホワイトニングの持続性を併せ持つ治療方法で、色戻りを防ぎつつ理想的な白さを得られます。

当院のホワイトニングは、患者様一人ひとりに合わせたカスタマイズプランで、より効果的に白い歯を実現します。今すぐ無料カウンセリングを受けて、歯の白さを取り戻しませんか?

ホワイトニングの種類と特徴

当院では、患者様のライフスタイルや希望に合わせて、最適な治療方法を選んでいただけます。

オフィスホワイトニング

オフィスホワイトニングは、歯科医院で行う即効性の高いホワイトニングです。 治療は約1時間で完了し、数回の照射で目に見える効果を実感できます。ホワイトニング剤には炭酸水素塩が配合されており、歯を白くするだけでなく、歯質を強化し、再石灰化も促進されます。

治療は歯に塗布した薬剤を専用の光で照射し、短時間で効果を得られるのが特徴です。痛みや刺激も少なく、安心して治療を受けていただけます。

ホームホワイトニング

ホームホワイトニングは、ご自宅で行うタイプのホワイトニングです。
専用のマウスピースにホワイトニング剤を入れて、1日1〜2時間装着するだけで、徐々に白さを実感できます。時間をかけて白くするため、色戻りが少ないのが特徴です。

この方法はお好きな時間に自分のペースで行えるので、忙しい方にも適しています。長期的に白さを維持したい方におすすめです。

デュアルホワイトニング

デュアルホワイトニングは、オフィスホワイトニングとホームホワイトニングを組み合わせた治療法です。

オフィスホワイトニングで即効性のある効果を得た後、ホームホワイトニングで白さを維持することができます。 この組み合わせにより、色の後戻りを防ぎ、理想的な白さを長期間維持することが可能です。

ホワイトニングのメリット・
デメリット

ホワイトニングのメリット

個別に合わせたプラン

歯科医院だからできるオフィスホワイトニングとホームホワイトニング、またはその両方を組み合わせた「デュアルホワイトニング」で、患者様のニーズに合わせたオーダーメイドのプランが提供できます。
お一人おひとりに最適なホワイトニングを提案します。

即効性と持続性

オフィスホワイトニングでは短期間で目に見える白さを実感でき、ホームホワイトニングでは効果が持続します。デュアルホワイトニングを選べば、両方のメリットを得られます。

衛生的

ホワイトニング中にマウスピースを取り外すことで、食事や歯磨きも通常通り行えます。治療後の口腔ケアを維持できるので、衛生的にも安心です。

ホワイトニングのデメリット

即効性がない
(ホームホワイトニング)

ホームホワイトニングは効果が徐々に現れるため、即効性を求める方には物足りなさを感じる場合があります。

時間がかかる
(ホームホワイトニング)

1日1〜2時間装着し続ける必要があり、忙しい方にとっては手間に感じるかもしれません。

治療中のケアが必要
(ホームホワイトニング)

取り外し可能なマウスピースには定期的なクリーニングが必要で、使用中は常に清潔を保つ必要があります。

食べ物や飲み物で色がつく可能性
(オフィス・ホーム共通)

ホワイトニング後に色素の強い食べ物や飲み物を避けることが推奨されます。
これにより、ホワイトニング後の効果を最大限に維持できますが、飲み物や食べ物を制限するのは一時的なことです。後戻りを防ぐために、簡単な対策を取ることで、効果が長持ちします。

当院でのオフィスホワイトニング
の流れ

  • カウンセリング
    初回は、歯の状態を確認し、ご希望の白さについてお伺いします。その後、最適なホワイトニングプランをご提案いたします。
  • クリーニング
    オフィスホワイトニングの場合、ホワイトニング前に歯のクリーニングを行い、歯の表面の汚れを取り除きます。
  • ホワイトニング開始
    ホワイトニング剤を歯に塗布し、専用の光で照射します。約1時間で施術が完了します。
  • 経過観察
    ホワイトニング後、経過を観察し、必要に応じて追加治療を行うことがあります。

当院でのホームホワイトニング
の流れ

  • カウンセリング・初診
    初めに、患者様の歯の状態やホワイトニングに対するご要望をお伺いします。
    歯科医師が口腔内をチェックし、ホワイトニングの適応を確認した上で、最適な治療プランをご提案します。
  • 歯の型取り(マウスピース作成)
    口腔内の型を取ります。この型をもとに、患者様専用のマウスピースを作成します。
    これにより、ホワイトニング剤が歯に均等に作用し、効率よく白く仕上げることができます。
  • ホワイトニング剤のセット
    患者様に専用のホワイトニングジェルとマウスピースをお渡しします。
    使用方法や注意点については、担当の歯科衛生士が詳しくご説明いたします。ジェルをマウスピースにセットし、歯にぴったり合うように装着します。
  • 毎日の使用(1日1〜2時間)
    マウスピースにホワイトニングジェルを入れて、1日1〜2時間の装着を行います。
    毎日の装着を続けることで、徐々に歯が白くなります。装着時間が長すぎると逆効果になる場合があるため、指示通りに使用することが重要です。
  • 使用後のケア
    ホワイトニング剤を使用した後は、マウスピースを取り外し、歯を軽くブラッシングします。
    マウスピースも清潔に保つため、毎回洗浄し、乾燥させて保管してください。
  • 経過観察
    ホワイトニングが終了した後は、経過観察のためにご来院いただきます。
    お口の中を撮影し、ホワイトニングによる色の変化を確認します。 ご希望であれば、ホワイトニングの薬剤を追加購入いただくことも可能です。

症例紹介

ホワイトニング前(Before)
Before
ホワイトニング後(After)
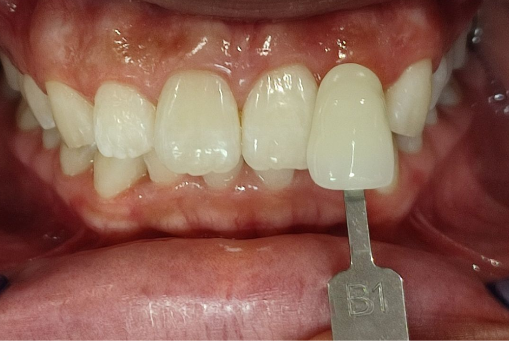
After(A1~B1へトーンアップ)
主訴歯を白くしたい 治療方法ホワイトニング剤塗布+10分照射×2回
年齢・性別22歳・女性(初診時22歳) 治療内容歯石除去後にホワイトニング
治療期間初回カウンセリング/クリーニング(保険)→ 次回ホワイトニング 治療時間1時間
メインテナンス3〜6ヶ月に1回 費用オフィスホワイトニング(ファースト)33,000円(税込)
治療結果A1~B1にトーンが明るくなりました。
注意点漂白治療のため、施術中にしみる・痛みが出る場合は中止しますのでお知らせください。
リスク・副作用治療後〜翌日頃までしみる症状が出ることがあります。多くは1日、長くても1週間以内に治まりますが、続く場合はご来院ください。※効果には個人差があります。

料金とお支払い方法

プラン 説明 料金(税込) 対象部位 照射内容 所要時間
ホワイトニング
エコノミー
医療用ホワイトニングの効果を試したい方へ。 22,000円 前歯、第一臼歯8本 × 上下 8分照射 × 2回 約1時間
ホワイトニング
ファースト
1回で白さを実感できるおすすめプラン。 33,000円 前歯、第一臼歯8本 × 上下 10分照射 × 1回 + 8分照射 × 2回
※リナメルトリートメント込み
約1.5時間
ホワイトニング
プレミアム
白さを追求したい方、従来の方法で効果が出づらい方へ。 44,000円 前歯、第一臼歯8本 × 上下 10分照射 × 3〜4回
※リナメルトリートメント・ホワイトバーニッシュ込み
約2時間
ホームホワイトニング お家でホワイトニング、白さを自分で決められます。
1~3段階程度の白さアップ!
22,000円
(※2回目~薬剤のみ2,200円)
上下全体トレー+薬剤(2週間分) - 1日最大2時間 × 最大2週間
(※歯が沁みた場合には、装着時間を減らして調整していただきます。)

オプション
(知覚過敏ケア・再石灰化サポート)

ホワイトニング後は一時的に歯がしみやすくなることがあります。
当院では、歯面の再石灰化(ミネラル補給)を促し、知覚過敏の抑制をサポートするケアも行っています。

リナメルトリートメント

+1,100円

歯面の再石灰化を促し、知覚過敏をやわらげます。
「しみやすい方」「初めてのホワイトニングの方」におすすめです。

ホワイトバーニッシュ

+2,200円

高濃度フッ素・ミネラルを歯面に付着させ、再石灰化を促進します。
知覚過敏の抑制効果をしっかり得たい方におすすめです。

※塗布後は、約4時間うがい・飲食を控えると効果が得やすいです。

※当日の状態(着色・歯石の付着、知覚過敏の出やすさ等)により、必要に応じてご案内します。

歯石等が付いている場合には、ホワイトニングの効果を最大限にするために、保険適用で歯周ケアをさせていただきます。クリーニング終了後に、別日でホワイトニングに来ていただく場合があります。

よくある質問とご予約について

A.個人差はありますが、オフィスホワイトニングを1回行うと、1トーン程度白くなります。2回以上の照射で、さらに白さが増します。

A. 当院のホワイトニングでは、お食事や飲み物に制限はありません。ただし、ホワイトニング直後の数時間は色素の強い食べ物や飲み物を避けることをお勧めします。

A.妊娠中や授乳中の方、知覚過敏の症状が強い方には、ホワイトニング治療はお勧めできません。詳細については、無料カウンセリングでご相談ください。

無料カウンセリングのご案内

ホワイトニングについてご不明点があれば、お気軽にご相談ください。
無料カウンセリングを通じて、治療内容や費用についてご案内し、患者様に最適な治療プランを提案いたします。