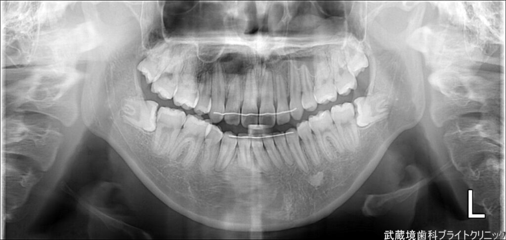
親知らずは抜いた方がいい場合が多いです。痛みがないからと放置しておくと、将来的に歯並びや噛み合わせに影響を与えたり、他の歯を圧迫したりすることがあります。
特に、親知らずが完全に生えない場合や、斜めに生えている場合は、早めに抜歯する方がリスクを避けられます。この記事では、親知らずを抜いた方がいい理由と、抜歯にかかる費用についても詳しく解説しますので、判断材料をしっかりとご確認いただけます。

親知らずは抜いた方がいい?
親知らずを抜いた方がいいかどうか、迷っている方も多いのではないでしょうか。特に痛みがない場合、抜歯するべきかどうか決めるのは難しいものです。親知らずを抜いた方が良いケースと、逆に抜かなくても大丈夫なケースについて、詳しくご紹介します。自分の状況に合わせて、最適な選択をしましょう。
親知らずを抜いた方がいいケース


痛みや腫れがある場合
親知らずが生え始めている、または生え方に問題がある場合、痛みや腫れが伴うことがあります。この症状は、親知らずが完全に生えない「埋まっている親知らず」や、斜めに生えている場合に特に多いです。生えかけの親知らずが歯茎に圧力をかけることで、歯茎が腫れて痛みが発生します。この痛みは、食事や歯磨きの際に強く感じることが多く、日常生活に支障をきたすこともあります。
放置すると、腫れが悪化し、感染症を引き起こす可能性もあります。感染が広がると、膿が溜まったり、周囲の歯に影響を与えることがあるため、早期に抜歯を検討することが重要です。痛みや腫れが続く場合、早めに歯科医院で相談し、適切な処置を受けることが推奨されます。
歯並びや噛み合わせに影響が出ている場合
親知らずが斜めに生えていたり、完全に生えなかったりすると、隣の歯を圧迫することがあります。これが長期的に続くと、歯並びや噛み合わせに影響を与え、矯正治療が無駄になったり、噛み合わせが不安定になることがあります。食事や会話に支障をきたすこともあるため、早めに抜歯することで将来的なトラブルを防ぐことができます。
虫歯や歯周病のリスクがある場合
親知らずは奥に位置しているため、歯磨きが難しく、虫歯や歯周病にかかりやすい部位です。特に親知らずが部分的に生えている場合、歯茎との隙間に食べ物が挟まりやすく、細菌が繁殖しやすくなります。虫歯や歯周病が進行すると、隣の歯にも悪影響を与えるため、早めに抜歯することでこれらのリスクを回避できます。
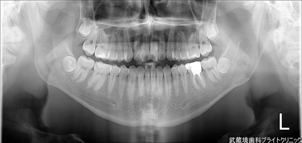
親知らずが埋まっている場合
親知らずが完全に埋まっていると、歯茎の中で圧力がかかり、痛みや腫れを引き起こすことがあります。また、埋まった親知らずは歯科治療が難しく、感染症や膿が溜まるリスクがあります。放置しておくと、周囲の歯に悪影響を与えることがあるため、早期に抜歯することでトラブルを避けることができます。
親知らずを抜かなくても良いケース
親知らずを抜かなくても良い場合もあります。例えば、親知らずが正常に生えていて、隣の歯に影響を与えず、痛みや腫れもない場合です。また、定期的な歯科検診を受けていて、虫歯や歯周病のリスクが低いと判断された場合は、無理に抜く必要はありません。親知らずが健康で、他の歯に影響を与えず、清掃ができているなら、様子を見ながら経過観察をすることも一つの選択肢です。ただし、将来的に問題が起こる可能性があるため、定期的にチェックを受けることは大切です。
親知らずは放置するとどうなる?
親知らずを放置すると、いくつかの問題が発生する可能性があります。まず、親知らずが完全に生えていない場合や斜めに生えていると、歯茎の中で圧力がかかり、痛みや腫れを引き起こすことがあります。この状態を放置すると、感染症を引き起こし、膿がたまることも。また、親知らずが隣の歯に押しつけられたり、歯並びに影響を与えることもあります。さらに、歯磨きが難しいため虫歯や歯周病になりやすく、周囲の歯にも悪影響を与える可能性が高いです。症状がない場合でも、定期的に歯科医に相談し、問題を早期に発見することが大切です。
親知らず抜歯のリスク
親知らずの抜歯には少なからずリスクはあります。難しい症例になるほどリスクは上がりますが、当院では全て説明をさせていただいた上で治療を行っておりますので、ご安心ください。
腫れ
親知らずの抜歯後に腫れが生じることはよくあります。特に下の親知らずを抜いた場合、顎の周囲が腫れることが多く、痛みを伴うこともあります。腫れは通常、術後数日以内にピークを迎え、徐々に引いていきますが、冷湿布や痛み止めを使用することで軽減できます。腫れが長引く場合や過度の腫れが見られる場合は、感染症などの可能性もあるため、歯科医に相談することが重要です。
感染症
親知らずの抜歯後、抜歯した部分が感染することがあります。特に抜歯後の傷口が不潔であったり、適切にケアされないと、細菌が入り込み感染症を引き起こすことがあります。感染症の症状としては、傷口の痛みや腫れ、膿の排出などがあり、適切な抗生物質で治療が必要です。感染症を予防するためには、術後の口腔ケアをしっかり行い、歯科医から指示された通りに治療を続けることが大切です。
神経損傷(麻痺)
親知らずの抜歯で、特に下顎の親知らずを抜いた場合、周辺の神経に近いため、神経損傷を引き起こすリスクがあります。麻痺が発生すると、唇や舌、顎の感覚が一時的に失われることがあります。多くの場合、時間の経過と共に回復しますが、場合によっては長期間続くこともあります。このリスクは歯科医が慎重に抜歯を行うことで最小限に抑えることができますが、神経損傷の兆候が見られた場合はすぐに相談が必要です。
上顎洞炎
上顎の親知らずを抜歯する際、上顎洞(鼻の下にある空間)と抜歯部分が近いため、抜歯後に上顎洞炎が発生することがあります。上顎洞炎は、抜歯後に鼻づまりや痛み、膿が出るなどの症状を引き起こします。この場合、術後の適切なケアが必要で、特に抜歯部位に穴が空いてしまうと、細菌が上顎洞に侵入しやすくなります。上顎洞炎の予防には、術後の休息と、治癒を早めるためのアフターケアが欠かせません。
親知らず抜歯にかかる費用について
親知らずの抜歯にかかる費用は、歯科医院や治療内容、地域によって異なりますが、一般的には以下のような費用がかかります。
保険適用の場合
保険診療での親知らず抜歯は、1本あたり約3,000〜5,000円程度が目安です。ただし、抜歯の難易度(例えば、埋まっている親知らずなど)によっては、保険の適用範囲を超える場合があります。
自費診療の場合
自費診療では、親知らずの抜歯が1本あたり約1万円〜3万円程度になることがあります。特に、手術が必要な場合や、抜歯後の処置が複雑な場合、料金が高くなる傾向があります。
抜歯後の治療
抜歯後の処置(痛み止め、抗生物質、消毒など)の費用も考慮する必要があります。術後のケアが含まれる場合、追加料金がかかることもあります。
抜歯前に費用の見積もりをしっかりと確認し、必要な治療内容を把握することが大切です。
親知らず抜歯に関してのよくある質問と回答
1. 親知らずが痛くないけれど、抜歯した方がいいのでしょうか?
痛みがない場合でも、親知らずが歯並びや噛み合わせに影響を与えることがあります。また、将来的に虫歯や歯周病のリスクが高まることがあるため、歯科医と相談し、抜歯を検討することが推奨されます。
2. 親知らずが埋まっている場合でも抜歯が必要ですか?
親知らずが完全に埋まっている場合、歯茎に圧力をかけて腫れや痛みを引き起こすことがあります。放置しておくと、感染症や周囲の歯に悪影響を与える可能性があるため、早期に抜歯を検討することが勧められます。
3. 親知らずの抜歯後に痛みや腫れが強くなることはありますか?
抜歯後に痛みや腫れが発生することはあります。通常は数日以内に治まりますが、痛みが長引いたり、腫れがひどくなる場合は感染症や他の問題が考えられますので、すぐに歯科医に相談することが大切です。
4. 親知らずを抜かなくても、放置しても大丈夫な場合はありますか?
親知らずが正常に生えていて、隣の歯に影響を与えず、痛みや腫れもない場合は、抜歯しなくても問題ないこともあります。しかし、定期的に歯科検診を受けて、親知らずが健康かどうかを確認することが重要です。




