0422-27-8102
WEB予約

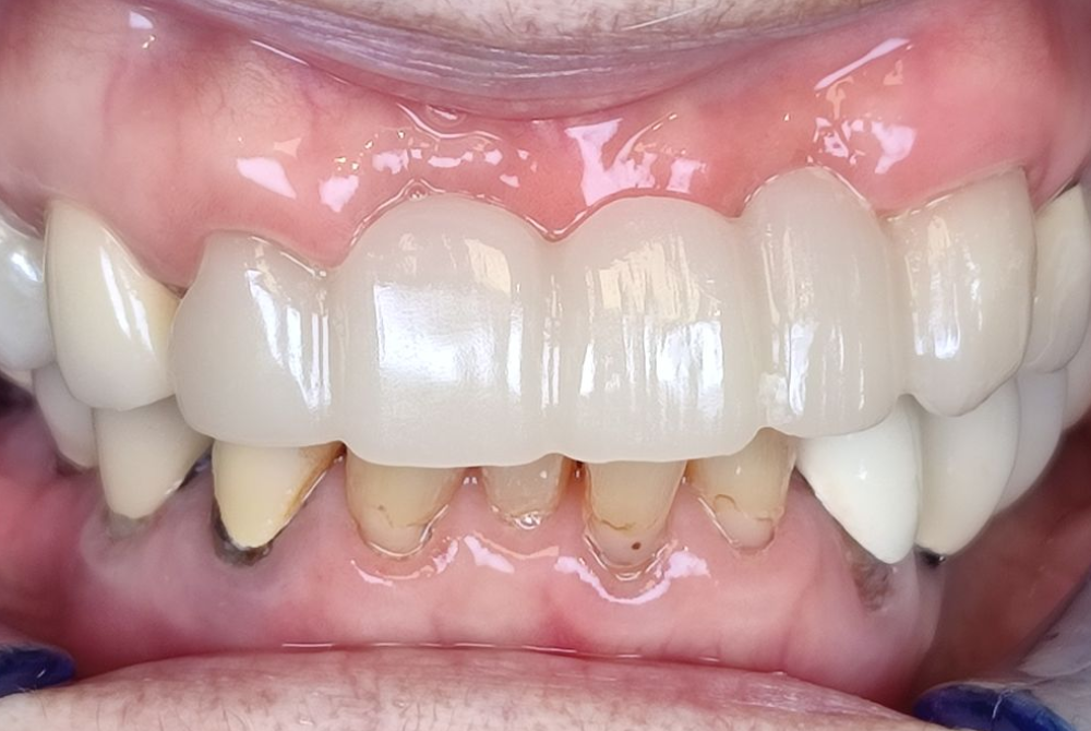
セラミック治療

最短1日で白い歯に。
メタルフリーのセラミック治療

「型取りが苦手」「銀歯を白くしたい」「通院回数を減らしたい」そんなご希望に、院内完結のセラミック治療でお応えします。

口腔内3Dスキャナーで歯列を読み取り、院内ミリングマシンでセラミックを即日加工

最短1日で、金属を使わないメタルフリーの白い詰め物・被せ物を装着できます。

高い適合性により、見た目の自然さだけでなく再治療リスクも低く、多くのメリットがあります。

※お口の状態や処置内容により当日中の装着が難しい場合があります(詳細は下記「当日セットの条件」をご確認ください)。

当日セットの条件

  • 単独歯の詰め物・被せ物
  • 根管治療や大きな歯肉処置が不要
  • 噛み合わせの安定が見込める

※複数歯・前歯の高度審美調整・噛み合わせ精査が必要な症例では、日数をいただく場合があります。

※18時以降の診療では当日セット不可です。

被せ物の費用

技工料が無い分、安く作成できるため、相場の半額程度でセラミック治療することが可能です。

治療内容 料金
被せ物(クラウン) 88,000円〜
詰め物(インレー) 55,000円〜

モニタ―価格

セレック症例
治療内容 料金
被せ物(クラウン) 66,000円〜
詰め物(インレー) 33,000円〜

セラミック治療はこんな方におすすめです

  • 銀歯を白くしたい方
  • 忙しくて何度も通院できない方
  • 金属アレルギーが気になる方
  • 自然な見た目を重視したい方
  • 保険診療では満足できない方

当院のセラミック治療の設備と治療体制

口腔内3Dスキャナー

印象材を使わず、光学的に歯列を読み取るデジタルスキャナーを導入しています。
短時間での取得と粉末不要のため不快感が少なく、嘔吐反射が強い方も無理なくスキャンができます。取得したデータはその場で画面共有し、形態や噛み合わせのイメージを患者さまと一緒に確認することも可能です。

セレックミリングマシン

取得データをもとに院内でCAD設計→ミリング加工まで一貫対応。
セラミックブロックを高精度に削り出し、口腔内での試適・微調整までを同日に行えます(症例により日数の変動あり)。 外注待ちがないため、最短1日での装着が可能で、素材は症例に応じて、E-max(セラミック)やジルコニアを患者様とご相談のうえで決定します。

半個室・完全個室の診療室

診療室は半個室、完全個室で、周囲の視線や音に配慮した空間設計です。
カウンセリングでは画像・CTなどの3Dデータを用いて治療計画を丁寧にご説明し、プライバシーを守りながら納得感のある意思決定をサポートいたします。 衛生面は標準化された清潔管理のもとで、安心して治療を受けていただけます。

※18時以降の診療では、当日セットは不可になります。

セラミック治療の流れ

当院のセラミック治療は、カウンセリングから装着までを院内で一貫して行います。
単独歯で根管治療や大きな歯肉処置が不要、噛み合わせが安定しているなどの条件を満たす場合は最短1日での装着が可能です。 ただ、前歯の高度な色調調整や複数歯の同時治療、精密な咬合精査が必要なケースでは複数回来院となることがあります。
また、18時以降に来院された場合は当日セットができません。ご希望の方は早めの時間帯のご予約をお願いいたします。

  • カウンセリング
    まずはお口全体の状態を確認し、症状・ご希望(見た目や来院回数など)をうかがいます。必要に応じてレントゲン等の検査を行い、当日セットが可能か、素材の選択(E-max/ジルコニア 等)、概算費用と所要時間の目安をご説明します。
  • 口腔内3Dスキャン
    小型カメラで歯列を非接触スキャンします。
    従来の印象材を使わないため、不快感が少なく短時間で精密なデータが得られます。取得データはその場でモニターに映し出され、仕上がりのイメージ等を一緒に確認します。
  • 詰め物、かぶせ物の歯をデザインと色合わせ
    3Dデータ上で噛み合わせ・接触点・マージン(境目)を細かく設計します。同時に、周囲の歯と合うように色を選択します。必要に応じて透明感や明度の微調整を行います。
  • 院内ミリング(削り出し)
    デザインしたデータをセレックミリングマシンに送り、セラミックブロックを削り出します。
    素材に応じて焼成(結晶化)や着色・研磨を行い、強度と審美性を引き出します。外注待ちがないため、スムーズに次の工程へ進めます。
  • 装着確認と最終調整
    出来上がった被せ物をお口の中で実際に装着して、ぴったり合っているか、隣の歯との接触具合や噛み心地を確認します。
  • 仕上げ
    専用のセメントで歯にしっかり固定した後、噛み合わせを一か所ずつ確認して細かく調整します。
    続いてふち(段差)をなめらかに整え、表面を磨き上げて自然なツヤに仕上げます。最後に鏡や写真で仕上がりをご一緒に確認し、お手入れ方法と注意点をご説明します。

自費診療としておすすめする理由

自費のセラミックは、光を透過する性質があり、天然歯に近い透明感とツヤを再現できます。
周囲の歯色に合わせた細かな色調調整が可能で、金属を使わないため歯茎の黒ずみや金属の影が出にくいのも特長です。
前歯はもちろん、笑ったときに見える奥歯でも自然な仕上がりが期待できます。

保険の素材には無い審美性

自費のセラミックは、光を透過する性質があり、天然歯に近い透明感とツヤを再現できます。
周囲の歯色に合わせた細かな色調調整が可能で、金属を使わないため歯茎の黒ずみや金属の影が出にくいのも特長です。 前歯はもちろん、笑ったときに見える奥歯でも自然な仕上がりが期待できます。

長期的に使える耐久性

セラミックは変色や摩耗に強く、日常の飲食による色移りが起こりにくい素材です。
適切に噛み合わせを整え、定期的にチェックを受けていただくことで、長期的に使い続けることが出来ます。保険診療の材料(銀歯・ハイブリッドレジン)と比べると、時間が経ってもザラつきや変色が起きにくい点もメリットです。

再発や炎症を防ぎやすい

デジタルスキャンとCAD/CAM加工により、歯と修復物の境目がなめらかになりやすく、段差やすき間ができてしまうことを防ぎます。これにより汚れがたまりにくく、むし歯の再発(いわゆる二次う蝕)や歯茎の炎症のリスク低減が期待できます。日々のホームケアと定期検診を組み合わせることで、良い状態をより長く保てます。

扱っているセラミックの種類

保険

ハイブリッドレジン(強化プラスチック)

レジンに微細なセラミック粒子を混ぜた白い素材です。金属不使用でアレルギーの心配が少ない一方、時間とともに黄ばみ・ツヤ落ち・すり減りが起きやすく、境目に汚れが残りやすくなることがあります。見た目は白いものの、透明感は控えめです。

メタル(銀合金)

金銀パラジウム合金を使用した保険診療の金属材料です。耐久性があり、割れにくいという特長がありますが、見た目の金属色が目立つため、審美性を重視する方にはお勧めできません。経年とともに変色や腐食が生じ、金属イオンが歯茎に溶け出すこともあります。また、金属アレルギーのリスクがあるため、注意が必要です。

自費

セラミック

セラミックは、高い透明感と自然な色合いが特徴の素材です。金属を使用せず、アレルギーの心配が少なく、見た目が自然な歯に近い仕上がりを実現します。強度は比較的低めで、特に強い噛み合わせが必要な部位では欠けやすくなることがあります。前歯や小臼歯の治療に向いており、透明感と自然な色合いを最優先にする場合に選ばれる素材です。

E-max

E-maxは、リチウムジシリケートというガラス系セラミックを使用した素材で、透明感と強度のバランスが優れています。前歯や小臼歯の治療に選ばれることが多く、変色しにくいので、美しい仕上がりが長持ちします。強度もしっかりしていて、噛み合わせや圧力に耐える力がありますが、強い衝撃が加わる部位では欠けることがあるため、噛み合わせの調整が重要です。変色に強い点が大きな特徴です。

ジルコニア

ジルコニアは、非常に高い強度を誇る素材で、噛むときに力が強い方や歯ぎしりがある方でも使用可能です。特に、奥歯やブリッジの治療で使われることが多いです。透明感はあまりありませんが、耐久性が抜群で、長期間安定した状態を保てる点が特徴です。

LISIブロック

LISIブロックは、高強度のガラスセラミックを使用した素材で、透明感があり自然な歯の色を再現できます。小臼歯の治療に選ばれることが多く、見た目の美しさが特に際立ちます。強度も十分ですが、強い衝撃には注意が必要です。特に審美的な治療を求める患者様にとって、自然な仕上がりが得られる点が大きな特徴です。

メンテナンスで長持ちさせるコツ

定期検診・クリーニングの間隔

セラミックは適合性と審美性に優れていますが、長く良い状態を保つには定期的なチェックと専門的クリーニングが欠かせません。定期検診・クリーニングの間隔の基本的な間隔は3〜6か月ごと。むし歯・歯周病の可能性がある方、なりやすい方は2〜3か月での来院をして頂く場合もございます。

定期検診での来院時は、セラミックと歯の境目に汚れがたまっていないか、噛み合わせが変化していないか、歯茎に炎症がないかを丁寧に確認し、必要に応じて研磨や微調整を行います。装着直後は噛み合わせが安定するまでに変化が出ることもあるため、早期フォローのご案内を差し上げる場合があります。違和感や「フロスが引っかかる」「しみる」といった違和感を感じた際は、早めに当院へご相談ください。

ホームケアと日常の注意点

毎日のケアでは、歯と歯茎の境目、そして補綴物のマージン部を丁寧に磨くことが最重要です。毛先のそろったブラシで小刻みに動かし、仕上げにデンタルフロスや歯間ブラシを併用すると磨き残しを減らせます。歯みがき剤は過度に研磨力の高いものは使わず、フッ素配合の製品をお選びください。

色調についてはセラミック自体は変色しにくいものの、周囲の天然歯は日々の生活で色が変わることがあります。気になる場合はクリーニングや色調のこともご相談ください。

セラミック治療のよくあるご質問(FAQ)

A.保険適用ハイブリットレジンの被せ物や詰め物を作ることができますが、最短1日でのセラミック治療はすべて自費診療となります。
保険のレジンや銀歯と比べて審美性・耐久性が高く、再治療のリスクも抑えられます。

A. 使用状況によって異なりますが、適切なケアをすれば10年以上使えるケースも多いです。

A.必要に応じて麻酔を使用します。ほとんどの方が「痛くなかった」とおっしゃいますのでご安心ください。