糖尿病
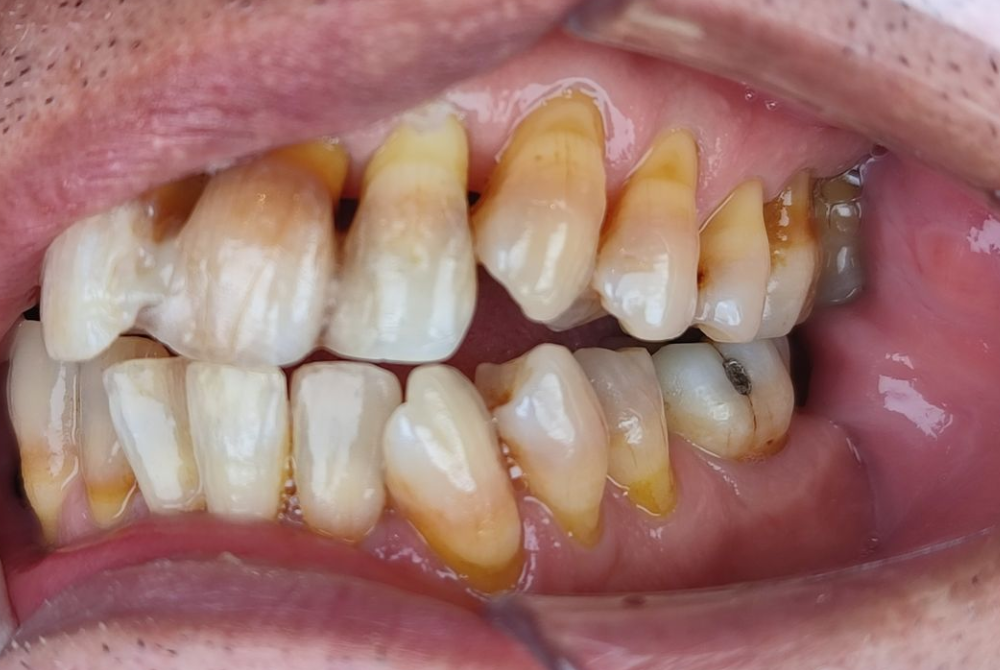
歯周病と糖尿病には密接な関連性があり、歯周病が糖尿病を悪化させる原因となることが多いです。糖尿病患者は免疫機能が低下しているため、歯周病菌に対する抵抗力が弱く、歯周病にかかりやすくなります。歯周病が進行すると、血糖コントロールが困難になり、糖尿病の症状が悪化することがあります。
どうして糖尿病と歯周病が関係しているのか?
糖尿病患者の体内では、血糖値が高くなることで免疫機能が低下します。この状態では、口内で繁殖する歯周病菌に対する抵抗力が弱く、歯周病が発症しやすくなります。さらに、歯周病が進行すると、歯ぐきから細菌が血流に入り込み、体内で炎症反応が引き起こすことがあります。この炎症が体内で広がることで、血糖値のコントロールが難しくなり、糖尿病が悪化する悪循環が生まれます。
歯周病が放置された場合のリスク
- 血糖コントロールの悪化:歯周病が進行すると、歯周病菌が血流に入り込み、インスリンの働きを妨げることがあり、血糖値が高くなります。
- 免疫力の低下:糖尿病による免疫力の低下に加え、歯周病が進行することで、体全体の免疫機能がさらに弱まり、感染症のリスクが増加します。
- 重篤な感染症:歯周病が進行すると、歯ぐきから膿が出たり、歯が抜け落ちることがあり、感染症が全身に広がるリスクが高くなります。
歯周病と糖尿病の改善方法
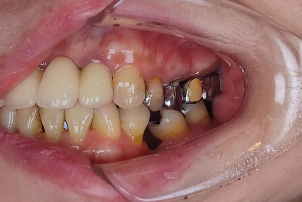
歯周病を予防・治療することで、糖尿病の血糖コントロールが改善される可能性があります。糖尿病患者は、以下の方法で歯周病を予防し、改善することができます。
1. 定期的な歯科検診と歯周病治療
糖尿病患者は、歯科医院での定期的なチェックアップを受け、歯周病を早期に発見し治療することが重要です。
2. 血糖コントロールの徹底
糖尿病患者は、血糖値を安定させることが歯周病予防に繋がります。インスリンの調整や食事、運動を通じて血糖値の管理を徹底することが大切です。
3. 口腔ケアの徹底
歯周病の予防には、毎日の歯磨きが欠かせません。糖尿病患者は特に、ブラッシングを丁寧に行い、フロスや歯間ブラシを使って歯の隙間の汚れを取り除くことが推奨されます。

