0422-27-8102
WEB予約

武蔵境でインビザラインをご検討中の方へ

インビザラインとワイヤー矯正

「目立たず歯並びを整えたい」「仕事や学校に支障なく矯正治療を受けたい」
──そんな患者様の声に応えるのが、マウスピース矯正「インビザライン」です。

当院では、患者様のライフスタイルやご希望に合わせた矯正プランをご提案できるよう、**最新の口腔内スキャナー(iTero Element 5D Plus)やCT(断層撮影)**などを導入し、より正確な診断・治療を実現しています。

透明なマウスピースを使った矯正治療は、目立ちにくく、取り外しも可能で、衛生的かつ快適に続けられる点が魅力です。

「歯並びを整えたいけど、どこに相談すればいいかわからない」
──そんな方も、まずは無料カウンセリングをご利用ください。診断結果に基づいた治療プランと費用をご説明し、納得いただいたうえで治療をスタートできます。

iTero

インビザラインとは?

インビザラインは、透明なマウスピース(アライナー)を使用して歯を少しずつ動かしていく矯正治療です。従来のワイヤー矯正とは異なり、見た目への配慮や取り外しの自由度が高く、日常生活における負担を最小限に抑えられます。

矯正治療を検討されている方によくあるお悩み・不安

こんなお悩みをお持ちの方へ

  • 歯並びは気になるが、治療期間が長そう
  • 目立つ矯正装置に抵抗がある
  • 痛みや通院の負担が心配
  • 金属アレルギーがある
  • 費用面で不安がある

インビザラインの
メリット・デメリット

インビザラインのメリット

透明だから目立たない

透明だから目立ちにくい
目立たずに自然に治療できる

インビザラインは、透明なマウスピースを使用して矯正を行います。そのため、日常生活で他の人に気づかれずに治療を進めることができます。特に、矯正治療を始めることに抵抗がある方や、見た目にこだわる方におすすめです。大切なイベントや仕事の面接などでも安心して治療を受けられます。

痛みを大幅に軽減

痛みを大幅に軽減
違和感や痛みを最小限に

インビザラインのマウスピースは非常に薄く、口元に負担をかけません。従来のワイヤー矯正に比べて、痛みや違和感が少なく、矯正治療をより快適に受けることができます。特に、矯正装置が口内に当たることによる痛みが少なく、患者様の治療期間中のストレスを軽減できます。

食事の時は取り外し可能

食事の時は取り外し可能
食事も歯磨きもいつも通りに

インビザラインの最大の特徴の一つは、マウスピースを取り外すことができる点です。食事の際や歯磨きの際には、装置を外して通常通りの食事を楽しむことができ、矯正中でも衛生的に保つことができます。また、食事後には再び簡単に装着できるので、矯正治療中もストレスなく生活できます。

通院回数が少なくすむ

通院回数が少なくすむ
少ない通院で続けやすい

インビザライン治療では、通院の頻度が少なく、通常は1~3ヶ月に1回のペースで来院すればOKです。忙しい方や遠方から通院される方にも負担が少なく、治療が進めやすいです。矯正治療の途中で何度も医院に通う必要がなく、生活スタイルに合わせて通院計画を立てられるため、より自由に治療を進めることができます。

金属アレルギーの心配がない

金属アレルギーの心配がない
金属を使わない安心素材

インビザラインのマウスピースは、プラスチック素材で作られており、金属を使用していません。そのため、金属アレルギーをお持ちの方でも安心して矯正治療を受けることができます。金属を使わないので、アレルギー反応や刺激を心配することなく、治療を進めることができます。

世界的に評価されている方法

世界的に評価されている方法
世界中で信頼される矯正法

インビザラインは、アライン・テクノロジー社が開発した、世界で最も広く使用されているマウスピース矯正システムです。現在、世界100カ国以上で1400万人以上がインビザラインによる治療を受けており、その効果と安全性が多くの患者様に支持されています。長年の実績とデータを元に、インビザラインは高い治療効果と信頼性を提供しています。

インビザラインのデメリット

指定された装着時間を守らないと効果が出ない

装着時間を守る自己管理が必須

インビザラインは、効果を最大限に発揮するためには、1日20時間以上の装着が必要です。これを守らないと、治療計画が遅れたり、歯の移動が不十分になる可能性があります。患者様自身が装着時間をきちんと守ることが大切であり、自己管理が求められます。装着時間を守らないと、治療期間が長引いたり、予想していた結果が得られないこともあるため、十分に注意が必要です。

装置のケアが必要

毎日の清掃が欠かせない

インビザラインのマウスピースは取り外し可能ですが、その分ケアが必要です。食事後には必ず歯磨きを行い、マウスピースも清潔に保つ必要があります。使用中のアライナーに汚れがたまると、口臭の原因になったり、治療効果が低下することがあります。また、専用のクリーニング剤を使用して清掃することが推奨されており、手間を感じる方もいるかもしれません。

精密検査から治療開始までに時間がかかる

治療開始までに準備期間が必要

インビザラインの治療を始めるには、まず精密検査を受け、患者様の歯並びや口腔内の状態をスキャンします。その後、治療計画を立て、マウスピースを製作するために一定の時間を要します。治療開始までに少し時間がかかるため、すぐに治療を始めたいという方には少し長く感じるかもしれません。とはいえ、この段階をきちんと踏むことで、より精密で効果的な治療が提供されます。

アライナー単独で対応できない難症例もある

難症例では他の治療併用が必要

インビザラインは、ほとんどの歯並びの問題に対応できますが、複雑な歯並びや極端に悪い歯並びにはアライナー単独では対応が難しい場合があります。例えば、歯が大きくずれていたり、顎の位置に問題がある場合は、インビザラインだけではなく、他の補助的な治療が必要になることもあります。このような症例に該当する場合は、他の治療法と組み合わせる必要があるかもしれません。

当院で行うインビザライン治療の流れ

  • 無料カウンセリング
    歯並びのチェックを行い、治療の概要・期間・費用についてご案内します。
  • 精密検査
    iTeroでの口腔内3Dスキャン、レントゲン、CTなどを用いた診査診断を実施します。
  • 診断・治療計画説明
    検査結果をもとに、患者様のお口の状態とライフスタイルを考慮した治療方針をご提案。治療計画、抜歯の有無、治療期間、費用についても明確にご説明します。
  • 治療スタート
    マウスピース到着後、着脱方法の練習を行い、矯正治療を開始します。
  • 保定期間へ
    治療完了後は後戻り防止のため、リテーナー(保定装置)を1〜3年ほど就寝中に装着していただきます。

インビザラインの症例紹介

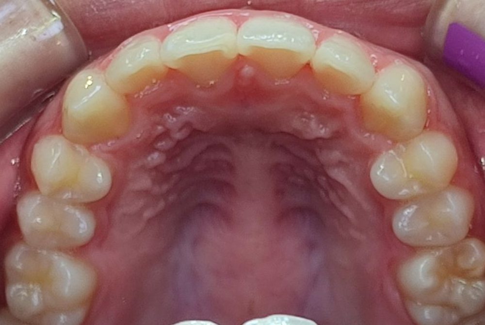
インビザライン治療前(Before)
Before
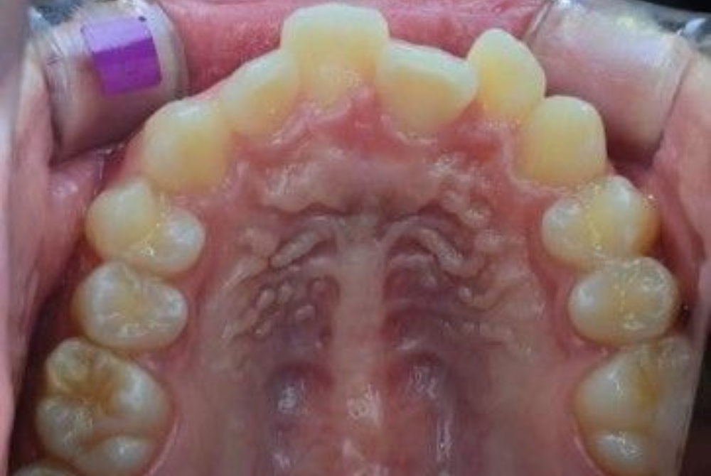
インビザライン治療後(After)
After
主訴歯並びを治したい 診断名歯科矯正(インビザラインフル)
年齢・性別20歳・女性(初診時19歳) 装置名インビザライン
抜歯の有無無し 治療期間1年半
メインテナンス3〜6ヶ月に1回 費用の目安880,000円(税込)
治療方法矯正用マウスピースを1日20時間程度装着し、1週間〜10日ごとに次のマウスピースへ交換。
治療結果良好。
リスク・副作用 ・アライナー交換直後は締め付け感や痛みを感じることがあります(多くは数日で慣れます)。
・歯の移動に伴い歯根吸収(根が短くなる)が起こりうります。※一般にインビザラインは従来矯正より軽減傾向。
・回転歯・埋伏歯などが想定どおりに動かず、再設計(リファインメント)が必要になる場合があります。
・長時間装着で唾液循環が低下し、清掃不良だとむし歯・歯周病リスクが上がります。
・保定(リテーナー)を怠ると後戻りする場合があります。

担当医:中原Dr

上顎の突出感と歯並びのガタつきに長年お悩みだった患者様。上下顎の叢生と上顎前突の状態でしたが、歯を抜かずにすむ方法を慎重に検討した結果、インビザラインを用いた 非抜歯・IPR(歯と歯の間をわずかに削ってスペースを作る方法)での矯正治療をご選択されました。

33枚のアライナーを1枚7日ごとにしっかりと使用していただき、追加の再スキャンなしで、わずか1クールで治療を完了することができました。 ご自身の努力と根気が、理想的な仕上がりに繋がった大きな要因です。

口元のバランスも整い、笑顔により自信を持っていただけるようになったご様子に、私たちも嬉しい気持ちでいっぱいです。ご協力ありがとうございました。

治療費用の目安

治療内容 料金
歯並び相談 無料
インビザライン(枚数制限なし) 880,000(税込)
インビザライン(26枚まで) 660,000(税込)
インビザライン(14枚まで) 550,000(税込)
インビザライン(7枚まで) 330,000(税込)

※詳しい料金は事前にご説明いたしますので、ご不明点は遠慮なくご相談ください。

お支払い方法

よくある質問とご予約について

A.世界1300万人以上の症例実績があり、正しい装着時間を守ることで効果的に歯を動かせます。

A. 治療の中断・再開についても柔軟にご対応しております。まずはご相談ください。

A.金属ワイヤーに比べて痛みはかなり軽減されており、違和感も少ないと評価いただいています。

武蔵境でインビザライン矯正なら当院へ

当院では、インビザライン矯正に関する無料カウンセリングを実施しております。患者様の歯並びやライフスタイル、ご希望に合わせて、最適な治療計画をご提案いたします。

「目立たない装置で矯正したい」「できるだけ負担の少ない方法を選びたい」などのお悩みに、スタッフ一同丁寧にお応えいたします。
インビザラインにご興味のある方は、ぜひ一度ご相談ください。