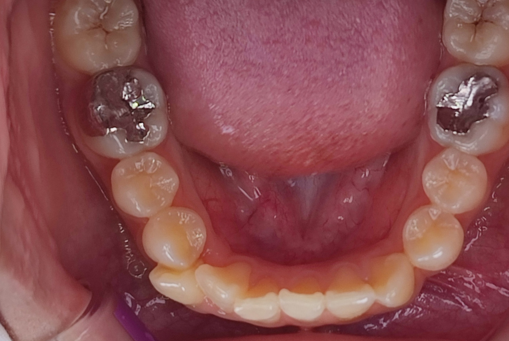
治療前
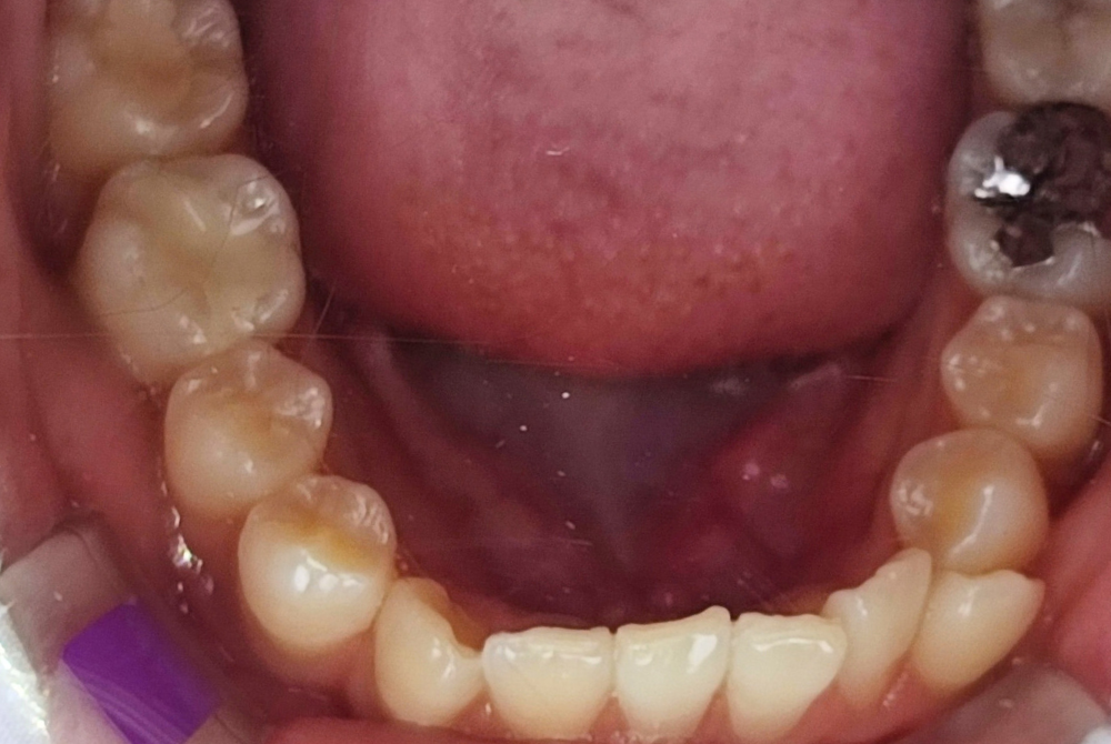
治療後
| 治療名称 | lisiブロッククラウンset(高強度セラミック) |
|---|---|
| 年齢・性別 | 20歳・女性 |
| 主訴 | 銀歯の中に二次カリエス。痛み有、虫歯の処置を希望 |
| 期間 | 1カ月 |
| 費用 | 55,000円(モニター価格) |
| 治療内容 | レントゲン、CTにより、う蝕の進行を説明後、治療を開始。右下6番 窩洞の大きいう蝕(C3)、根管治療、根管充填後、コア築造同日lisiblockセラミッククラウンをセット。 治療結果:見た目はほとんど天然歯と同様で、噛み合わせも調整し、正しい位置で噛めるようになる。セラミックなので傷が付きづらく、ツルツルとしており、歯垢(プラーク)も付着しづらい、接着強度も高く、細菌の侵入を防ぎ、2次カリエスも少ない。 |
| 治療に伴うリスク | 硬い素材ではあるが、噛み方や噛む強さにより、欠けたり割れたりすることがある。 |

